1.胞内分枝杆菌(Mycobacterium intracellulare

物种名:胞内分枝杆菌

拉丁学名:Mycobacterium intracellulare

分类学地位:细菌界Bacteria;放线菌门Actinobacteria;

放线菌纲Actinomycetes;放线菌目Actinomycetales;

分枝杆菌科Mycobacteriaceae;分枝杆菌属Mycobacterium

胞内分枝杆菌(Mycobacterium intracellulare)是非结核分枝杆菌中常见的一种分离株,广泛存在于水、土壤和灰尘等自然环境中,可通过接触传染源、创伤和手术等途径被感染,常有发热、盗汗、体重减轻、脑病、腹痛、腹泻贫血等症状。

1.1生物学特性

1.1.1培养特征

胞内分枝杆菌在蛋培养基上稀释接种,37℃培养7天或更长的时间,菌落光滑无色,老菌落可能变为黄色;在油酸卵蛋白琼脂上,菌落光滑、较薄、透明、无色,中心时常变厚,很少有粗糙菌落。

1.1.2形态学特征

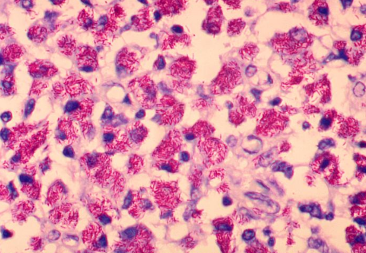
胞内分枝杆菌呈短或长杆状,刚开始生长时为丝状,经过一定时间后会变成球杆状,整体呈现细长略弯曲,无鞭毛、无芽胞、不产生内、外毒素。该菌细胞壁含有大量脂质,对其进行抗酸染色呈阳性,本菌被染成红色[1]

图1 胞内分枝杆菌抗酸染色图片[2]

1.1.3生化特征

胞内分枝杆菌通常不产生色素,在40-42℃下生长慢。该菌具有一定的致病性,在100℃下煮沸能耐受10分钟仍不失去抗酸性。鉴定该菌与结核分枝杆菌,可将可将菌苔置含盐水小滴的玻片上研磨,非结核分枝杆菌不易乳化而结核分枝杆菌容易乳化[1]

1.2分布、传播与致病性

1.2.1分布与传播

胞内分枝杆菌广泛存在于水、土壤和灰尘等自然环境中,感染的鸟类、哺乳动物和富含鸟粪的土壤可能是该菌的自然宿主。该菌常通过粪-口途径进行传播,免疫力低下人群更容易感染该菌[3]

1.2.2致病性

胞内分枝杆菌常与鸟分枝杆菌结合形成鸟-胞内分枝杆菌复合体,复合体的致病性比比其他的肺结核分枝杆菌更强。感染该菌主要表现为慢性肺部感染,儿童表现为淋巴结炎,免疫抑制患者(尤其是AIDS)呈播散性感染。常伴随发热、盗汗、体重减轻、脑病、腹痛、腹泻贫血等症状。除此之外,还会对皮肤造成上海,表现为脓肿或溃疡。

胞内分枝杆菌通常通过呼吸道或肠道途径感染,能够侵入粘膜上皮细胞,并在肠道和呼吸道粘膜上易位。通过表面黏附素(如:肝素结合血凝素)与宿主细胞受体结合,诱导巨噬细胞吞噬。在宿主免疫力下降时,胞内分枝杆菌可突破肉芽肿屏障,导致播散性感染[3]

1.3检测方法

(1)传统方法:采用齐-尼抗酸染色法对胞内分枝杆菌进行染色鉴定。使用玻片夹夹持涂片标本,滴加石炭酸复红2-3滴,在火焰高处加热,切勿沸腾,出现蒸汽即暂时离开,若染液蒸发减少,应再加染液,以免干涸,加热3-5 min,待标本冷却后用水冲洗;3%盐酸酒精脱色30 s-60 s;用水冲洗;用碱性美兰溶液复染1 min,水洗,用吸水纸吸干后用油镜观察[1]。但抗酸染色发无法区分胞内分枝杆菌和其他分枝杆菌(如:结核分枝杆菌)。

(2)分子生物学检测方法:李圆圆[4]等建立了RNA恒温扩增联合熔解曲线分析技术(RIARD-MCA)鉴定胞内分枝杆菌的方法。以胞内分枝杆菌的16S rRNA的特异序列为检测靶标设计RNA探针和带有T7启动子的逆转录扩增引物,42℃恒温扩增实时检测后进行熔解曲线分析。该方法具有较高的灵敏度、特异性和准确性,且检测快速。具体引物序列间表1。

表1 胞内分枝杆菌PCR引物和探针序列

名称 序列
F 5′-TTCTAAGCCTGGGAAA-3′
R 5′-AATTTAATACGACTCACGGGATATAGGGAGACCACCAACAAGCTGATAGGC-3′
探针 5′-FAM-CGUGGACCUUUAGGCGCACCACG-DABCYL-3′

1.4典型案例

Pfaller[5]等收集了美国不同地区的水龙头水样,总共292个饮用水样品,主要是厨房水槽、浴室水槽、饮水机、水厂处理水和各类地表水、地下水等。通过培养和qPCR分析,在35%(102/292)的样品中检测到胞内分枝杆菌的存在,东北部站点的细胞内分枝杆菌的样本阳性率最高。

1.5防治对策

免疫低下者(如艾滋病患者)可口服克拉霉素或阿奇霉素预防,避免接触污染水源;医院环境需要定期消毒,减少医院水源及器械的胞内分枝杆菌定植风险。治疗可采用联合用药,例如克拉霉素、乙胺丁醇、利福霉素等。

参考文献

[1] 胡桂, 刘成侠. 病原微生物学与免疫学实验技术. 北京: 中国医药科技出版社, 2015.

[2] https://phil.cdc.gov/Details.aspx?pid=965.

[3] Suresh A, Kamath GS, Latheef F et al. Diagnosis of Mycobacterium. Springer: Singapore, 2023.

[4] 李园园, 程松, 陆俊梅 等. RNA恒温扩增联合熔解曲线分析鉴定胞内分枝杆菌的应用研究. 中国人兽共患病学报, 2014, 30: 58-62.

[5] Pfaller S, King D, Mistry JH et al. Occurrence revisited: Mycobacterium avium and Mycobacterium intracellulare in potable water in the USA. Appl Microbiol Biotechnol, 2022, 106: 2715-2727.

 

文章目录