1.衣原体(Chlamydia

物种名:衣原体

拉丁学名:Chlamydia

分类学地位:原核生物界Procaryotae;衣原体门Chlamydiota;

衣原体纲Chlamydiia;衣原体目Chlamydiales;

衣原体科Chlamydiaceae;衣原体属Chlamydia

衣原体(chlamydia)是革兰氏阴性病原体,是一类能通过细菌滤器、有独特发育周期的原核细胞性微生物,是一种比细菌小但比病毒大的生物,是专性细胞内寄生的、近似细菌与病毒的病原体。它没有合成高能化合物ATP、GTP的能力,必须由宿主细胞提供,因而成为能量寄生物,多呈球状、堆状,有细胞壁,有细胞膜,属原核细胞,一般寄生在动物细胞内。能感染人类的衣原体有三种,为肺炎衣原体、鹦鹉热衣原体和沙眼衣原体[1]

1.1生物学特性

1.1.1发育周期

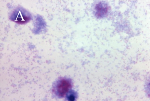
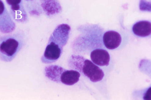
衣原体有独特的发育周期,在普通光学显微镜下可观察到两种大小、形态结构不同的颗粒,即原体(Elementary Body, EB)和始体(Initial Body, IB)。原体小而致密,呈球形,直径0.2-0.4 μm,电镜下有致密的核质和少量核糖体,外周有坚韧的细胞壁。原体存在于细胞外,是发育成熟的衣原体,具有高度的感染性,但无繁殖能力。当它吸附于易感细胞表面,通过吞噬作用进人细胞内,胞膜在原体周围形成空泡。原体在空泡中逐渐增大、发育成始体。始体大而疏松,为球形,直径为0.5-1.0 μm,无致密核质,而有纤细网状结构,故始体也称为网状体(Reticulate Body, RB)。始体在细胞空泡内以二分裂方式繁殖并形成众多的子代原体。成熟的子代原体从宿主细胞释放出来,再去感染新的宿主细胞,开始新的发育周期。每个发育周期24-72小时。始体是衣原体生活周期中的繁殖型,无感染性[2]

1.1.2培养及形态学特征

衣原体严格细胞内寄生,可用鸡胚卵黄囊接种、易感动物(如小鼠腹腔)接种及传代细胞分离培养。衣原体在宿主细胞内增殖,细胞化学组分和结构与革兰氏阴性菌相似,其细胞壁为含胞壁酸的外膜,含RNA和DNA,繁殖为二分裂,用光镜可观察到两种形态,即原体(EB)和始体(RB)。原体呈球形,致密,体积小,直径为0.2-0.4 μm,有细胞壁,是发育成熟的衣原体,革兰氏染色呈阴性,吉姆萨染色呈紫色,麦氏染色呈红色。始体呈球形,无细胞壁,疏松,体积较大,直径为0.5-1.0 μm,为纤维网状结构,麦氏染色呈蓝色。在易感细胞内含有繁殖的始体和子代原体的空泡,被称为包涵体,它具有多种不同的形态,对衣原体的鉴别有意义[3]

图1 鹦鹉热衣原体原体形态(A)(×1125)[4]和沙眼衣原体包涵体形态(B)[5]

1.1.3生化特征

衣原体对热敏感,在56°C下仅存活5-10 min,对紫外线敏感,耐低温。75%酒精或2%来苏尔5 min即可杀死衣原体。大环内酯类、四环素、强力霉素、红霉素等抗生素可抑制衣原体的繁殖[3]

1.2分布、传播与致病性

1.2.1分布与传播

在感染人类的三种衣原体中,沙眼衣原体主要寄生于人类,无动物储存宿主,其主要通过眼-眼、眼-手-眼的方式在人群中传播,沙眼衣原体感染率较高,尤其是在医疗资源匮乏的地区,如非洲、东南亚和拉丁美洲的部分国家;肺炎衣原体主要寄生于人类的呼吸道,经飞沫或呼吸道分泌物传播,其广泛分布于全球,在家庭和学校等封闭环境中易发生聚集性感染;鹦鹉热衣原体主要寄生于鸟类及家禽中,人类通过吸入病原体或密切接触病禽而被感染,兽医、家禽养殖工人和宠物店工作人员是感染的高风险人群[6]

1.2.2致病性

衣原体通过多种途径感染宿主,且感染部位多。在感染人类的三种衣原体中,沙眼衣原体能引起沙眼、生殖道感染以及性病淋巴肉芽肿等疾病,严重可导致失明;肺炎衣原体主要引起非典型肺炎,表现为轻度至中度的呼吸道感染,常见症状包括发热、干咳、咽痛、头痛和全身乏力,类似流感或支原体肺炎;鹦鹉热衣原体的临床表现以高热、寒战、剧烈头痛、肌肉酸痛和干咳为主,严重者可进展为重症肺炎,甚至出现“白肺”、呼吸衰竭、休克或多器官功能衰竭。

衣原体的致病性主要依赖于菌体脂多糖(LPS)、包涵体膜蛋白(Inc)、高温需要A蛋白(HtrA)、衣原体蛋白酶样活性因子(CPAF)等,衣原体进入细胞后,于胞质内形成包涵体,并在包涵体中繁殖发育。包涵体不仅为衣原体繁殖提供微环境,而且保护衣原体免遭宿主免疫系统的的识别和清除,同时衣原体必须通过包涵体从宿主细胞中摄取营养以及信号的转换。Inc是包涵体主要组成成分,是衣原体基因编码、表达定位于包涵体上的蛋白质,在衣原体生长发育中Inc发挥重要作用。另外,CPAF、HtrA以及其它衣原体分泌性蛋白等在衣原体逃避宿主免疫识别、抑制NF-kB促炎信号通路、发挥水解蛋白活性、重组细胞骨架、抗宿主免疫等方面发挥重要作用[7]

1.3检测方法

  1. 传统方法:通过显微镜进行观察或进行分离培养观察,用革兰氏染色或吉姆萨染色后,通过镜检寻找宿主细胞内的包涵体,根据其形态、位置及染色性等特性对衣原体进行鉴别,或将检查的标本接种于鸡胚卵黄囊或传代细胞上进行分离培养观察鉴定[8]
  2. 免疫学方法:通过补体结合实验、微量免疫荧光法、酶免法以及金标法检测抗原抗体等。以金标法为例:将采集到分泌物的棉拭子放入样品处理管内,按照试剂盒说明书处理标本完成抗原提取。取5滴提取液滴加至抗原检测卡样品窗口内,15 min后观察检测结果;相同方法采用热灭活沙眼衣原体作为阳性对照。如控制窗和结果窗均可见红线即可判断为阳性;控制窗有一条红线、结果窗无红线者为阴性;控制窗无红线则判断为无效,需重新进行检测[9]
  3. 分子生物学法:使用核酸探针或PCR法进行检测。以RT-PCR检测沙眼衣原体为例:通过一系列操作获取DNA反应模板后,使用荧光PCR扩增仪进行扩增。反应条件如下:93℃ 5 min预变性,再按照93℃ 45 s、55℃ 45 s共进行40个循环。反应结束后由计算机分析结果,荧光强度>5×102 copies/mL,即可判断为阳性。RT-PCR检测能够在全封闭环境下操作,实现快速、准确鉴别出病原体的效果,避免污染造成的假阳性问题[9]

1.4典型案例

苏格兰的一个农场曾报道疑似衣原体感染导致了该农场的牛流产。为了确定其发生原因,从该农场每个牛饮水槽以及供应它们的钻孔中采集了水样,通过提取DNA、PCR测序等一系列操作,结果显示,每个饮水槽中都存在衣原体DNA,但在原始钻孔水源中不存在,证明了环境中存在的与牛流产病例有关的衣原体以及饮用水作为其感染源的可能作用[10]

1.5防治对策

沙眼衣原体主要是通过人与人接触传播,在生活中我们要注意不公共使用毛巾、脸盆等个人物品,要勤洗手,不使用脏手揉眼,做好个人卫生。肺炎衣原体属于人呼吸道病原体,按照呼吸道疾病预防,在流感或呼吸道疾病高发期要佩戴口罩,避免飞沫传播,同时保持健康饮食、规律作息,增强免疫力。鹦鹉热衣原体主要是通过禽类传播给人,因此在日常生活中尽量避免接触病鸟或野生禽类(如:鸽子、鹦鹉等),尤其是其排泄物或羽毛。若不慎感染了衣原体,应尽早到医院进行药物治疗[11]

参考文献

  1. https://baike.baidu.com/item/衣原体/89225
  2. 王桂琴, 陈云霞. 医学微生物学第2版. 北京: 中国医药科技出版社, 2023.
  3. 杨文, 沈萍, 欧阳艳. 动物微生物与免疫技术. 武汉: 华中科技大学出版社, 2022.
  4. https://phil.cdc.gov/Details.aspx?pid=23654.
  5. https://phil.cdc.gov/Details.aspx?pid=20873.
  6. 张启明. 中医病因学. 北京: 中国中医药出版社, 2024.
  7. 刘娜, 周洲. 衣原体致病机制的研究策略及挑战. 中国人兽共患病学报, 2019, 35: 552-557.
  8. 朱书照. 现代医学检验与新技术. 上海: 上海科学普及出版社, 2023.
  9. 宁继伟. 实时荧光定量PCR在沙眼衣原体检测中的应用. 世界最新医学信息文摘, 2021, 21: 260-261.
  10. Wheelhouse N, Sait M, et al. Molecular detection of Chlamydia-like organisms in cattle drinking water. Veterinary Microbiology, 2011, 152: 196-199.
  11. 陈兆云, 林成水. 衣原体研究进展. 中国公共卫生, 1992, 04: 175-193.

 

文章目录