1.迪斯帕内阿米巴(Entamoeba dispar)
物种名:迪斯帕内阿米巴
拉丁学名:Entamoeba dispar
分类学地位:细菌界Eukaryota;阿米巴门Amoebozoa; 根足纲Archamoebae;内阿米巴目Entamoebida; 内阿米巴科Entamoebidae;内阿米巴属Entamoeba
迪斯帕内阿米巴(Entamoeba dispar),根据生活环境的不同,可分为内阿米巴和自由生活阿米巴(Free-living Amoeba)。前者营寄生生活,寄生于人体内的主要有阿米巴目、内阿米巴科的属种。[1]后者主要生活在水和土壤中,以细菌、藻类、真菌等为食,少数种类偶尔会侵入动物机体。对人体影响较大的包括裂核目中棘阿米巴科与双鞭阿米巴科的属种。临床上,以溶组织内阿米巴的致病性最强,主要引发阿米巴痢疾和肝脓肿;耐格里属与棘阿米巴属主要引起脑膜脑炎、角膜炎、口腔感染和皮肤损伤等,其中福氏耐格里阿米巴即俗称的“食脑虫”。
1.1生物学特性
1.1.1培养特征
在普通固体培养基上,形成类圆形菌落,表面呈半透明、颗粒状、边缘不整齐、向外扩散、呈绒毛网状,且常常扩散成菌苔。在血平板上,出现与菌落几乎等大或者较大的溶血环。在乳糖卵黄牛奶平板上,菌落下培养基为乳浊,菌落表面及周围形成彩虹薄层,不分解乳糖;分解蛋白的菌株,菌落周围出现透明环[1]。
肉毒杆菌在有氧环境中、低于4℃或pH<4.5条件下不生长。只有在厌氧、低盐、偏酸的特殊条件下,才可生长繁殖并产生肉毒毒素。其中,具有蛋白分解功能的肉毒杆菌最适产毒培养温度为37℃,不具有蛋白分解功能的菌株最适产毒培养温度为30℃,甚至在3~4℃的低温条件下也可产生肉毒毒素。
1.1.2形态学特征
在显微镜下,阿米巴原虫呈现为不规则、无色的果冻状物。细胞通常有两个原生质层,内质和外质。外质薄而透明且较为坚硬。内质呈颗粒状,其中包含细胞核、细胞器和各种被吞噬的食物液泡。内质又可分为外层的凝胶质与内层的溶胶质。与许多真核生物不同,有些种类的阿米巴原虫通常生活在缺氧环境中,缺乏经典的、有氧呼吸的线粒体,但含有由线粒体起源的细胞器,[2]如氢化酶体与纺锤剩体。
生活在淡水中的阿米巴原虫内质中可见伸缩泡,[3]其主要功能是调节渗透压。阿米巴原虫细胞质渗透压较高,由于渗透作用会不断有水进入细胞内,伸缩泡则可以排出体内的过多水分与代谢废物,以维持水液平衡。阿米巴原虫具有其独特的运动模式——阿米巴样运动(amoeboid movement)。在运动时,任意部位的细胞质都可形成突起,称伪足(pseudopodium)。伪足形成时,内质的溶胶质向凸起处流动,然后向外分开又变为凝胶质;随着阿米巴原虫的移动,后来的凝胶质又转变为溶胶质,并在运动过程中不断循环这一过程,这样虫体就能不断向伪足伸出的方向移动。阿米巴原虫主要有四种不同类型的伪足:丝状足、叶足、根足与轴足。

图1 溶组织内阿米巴滋养体[4]
1.1.3生化特征
迪斯帕内阿米巴(Entamoeba dispar)是一种非致病性阿米巴,与溶组织内阿米巴(Entamoeba histolytica)在形态和生活史方面相似,但属于不同的物种。尽管两者在形态上难以区分,但通过同工酶分析、ELISA和PCR等分子生物学方法可以进行区分。迪斯帕内阿米巴的生化性质在多个方面表现出与溶组织内阿米巴的差异。[5]例如,研究表明,E.dispar的细胞表面特性、细胞质代谢物(如糖原)以及对特定分子(如刀豆素A)的敏感性均与E.histolytica不同。例如,E.dispar的细胞表面更薄,且对刀豆素A的敏感性较低,这表明其细胞表面的化学性质存在差异。
1.1.4分子生物学特征
在分子生物学方面,E.dispar的研究主要集中在基因表达、蛋白质功能和分子标记等方面。[6]例如,研究发现E.dispar的甘露糖/乙酰氨基葡萄糖凝集素(lectin)的表达量低于E.histolytica,且其基因表达模式也存在差异。此外,E.dispar的基因组和蛋白质组学研究也表明其在某些基因和蛋白质功能上与E.histolytica存在差异。
E.dispar的分子生物学研究还涉及其在不同环境条件下的适应性,例如其在体外培养中的生长特性、对宿主细胞的相互作用以及潜在的致病性。尽管E.dispar通常被认为是非致病性的,但有研究表明某些E.dispar菌株在特定条件下可能表现出一定的致病性。
1.2分布、传播与致病性
1.2.1分布与传播
地理分布:Entamoeba dispar广泛存在于全球多个地区,尤其在卫生条件较差的地区更为常见。例如,在非洲、中东和南美等地均有报道,其感染率在不同地区存在差异,但总体上感染率较高。该物种主要寄生于人类肠道,但也有研究显示其在动物(如牛、羊)中存在。
1.2.2致病性
大多数文献认为Entamoeba dispar是非致病性的,通常不引起明显症状或疾病。它通常作为肠道共生菌存在,不引起疾病,[7]但近年来有研究发现,某些Entamoeba dispar菌株可能具有致病性。例如,有研究发现其可能引起肝脓肿、肠道炎症或组织损伤。
1.2.3耐药性
目前没有直接证据表明迪斯帕内阿米巴具有耐药性。然而,由于其与溶组织内阿米巴的相似性,以及在诊断和治疗上的复杂性,未来可能需要进一步研究其耐药性特。
图2 阿米巴原虫的显微镜图像对比表,其中列出了六种阿米巴原虫。

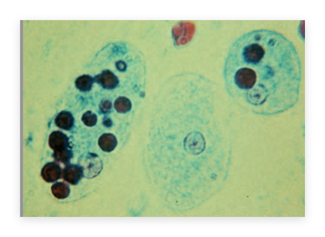
图3 阿米巴组织感染的红细胞[8]
1.3检测方法
(1)利用高度特异性的单克隆抗体与粪便样本中病原体的特定抗原结合[9]。结合事件通过显色反应(如ELISA)或免疫层析(如侧流免疫层析试纸条)被检测出来。特异性高,能明确区分E.histolytica和E.dispar。操作相对简单:特别是RDTs,无需复杂设备。比PCR和培养更快,尤其是RDTs。可检测活动性感染,检测的是当前感染的病原体所释放的抗原。
(2)提取样本中的DNA,使用物种特异性的引物通过聚合酶链式反应(PCR)选择性扩增E.histolytica或E.dispar独有的DNA片段。[10]如果扩增出目标条带,则证明该物种存在。核糖体DNA(rDNA)的基因间隔区:特别是ITS1和ITS2(内转录间隔区),这些区域在两种阿米巴之间存在显著的序列差异,是设计特异性引物的理想靶点。染色体高度重复序列,例如,针对E.histolytica特有的重复序列设计的引物。
1.4典型案例
2025年6月,一名家长在社交平台的求助信息引起广泛关注。其带5岁女儿于6月7日和6月14日游泳和泡温泉,6月22日出现头痛低热呕吐的情况,6月23日住进医院后出现抽搐,随后昏迷不醒,并转入重症监护室治疗,6月27日被检测出福氏耐格里阿米巴病原,情况非常危急。8月11日晚,孩子妈妈在社交平台发布了一封“君宝贝和妈妈的感谢信”,称孩子在上海复旦大学附属医院通过腰穿脑积液的检查,检查结果显示感染了狒狒阿米巴原虫。至于为什么会感染,男童妈妈表示,梳理排查发现,孩子只有6月6日在学校打水仗和4月13日在公园里捞鱼(疑似感染),没有去过别的地方,最终未能抢救成功。
1.5防治对策
甲硝唑、替硝唑等对肠阿米巴病患者有一定作用,但不能根治。[11]对带包囊者应使用巴龙霉素、喹碘方、双碘喹啉或糠酯酰胺等杀包囊药物。肠外阿米巴病可用甲硝唑加以氯喹治疗。中枢神经系统的感染可用两性霉素B静脉给药,同时服用磺胺嘧啶或利福平。对肉芽肿性阿米巴脑炎,可用普罗帕脒、喷他脒配伍磺胺类药物治疗。角膜炎的治疗可以使用抗真菌与抗阿米巴的眼药,如聚六亚甲基双胍(PHMB)与普罗帕脒。
加强对粪便的无害化处理;及时灭蝇、灭蟑螂;加强卫生宣传教育,避免接触野外河流、池塘等可能被污染的水域;佩戴角膜接触镜要严格清洗、消毒镜片等;去感染流行区旅行时,应避免进食未烹煮的食物,如沙拉和蔬菜,也应避免饮用可能受污染的水。
参考文献
[1] 郑葵阳.《医学寄生虫学》第2版. 北京: 科学出版社, 2007, 05: 29-60.
[2] Gill EE, Diaz-Triviño S, Barberà MJ et al. Novel mitochondrion-related organelles in the anaerobic amoeba Mastigamoeba balamuthi. Molecular microbiology, 2007, 66: 1306-1320.
[3] 侯林, 吴孝兵. 《动物学》第2版. 北京: 科学出版社, 2019,09: 18-21.
[4] Amebiasis, Entamoeba histolytica, cause, symptoms, diagnosis, treatment & prognosis[EB/OL]. Health Jade, 2023: 10-25.
[5] Espinosa-Cantellano M., González-Robles A., Chávez et al. Entamoeba dispar: infrastructure, Surface Properties and Cytopathic Effect. Journal of Eukaryotic Microbiology, 1998, 45: 265-272.
[6] Dylan R. Pillai, Seiki Kobayashi, Kevin C. Kain. Entamoeba dispar: Molecular Characterization of the Galactose/N-Acetyl-d-galactosamine Lectin. Experimental Parasitology, 2001, 99: 226-234.
[7] Haque R, Duggal P, Ali IM et al. Innate and acquired resistance to amebiasis in bangladeshi children. J Infect Dis, 2002, 186: 547-52.
[8] American Water Works Association. Waterborne Pathogens, 2006.
[9] Ali IK, Zaki M, Clark CG. Use of PCR amplification of tRNA gene-linked short tandem repeats for genotyping Entamoeba histolytica. J Clin Microbiol, 2005, 43: 5842-7.
[10] Silvio S. Dolabella, Jesús Serrano-Luna, Fernando Navarro-García et al. Amoebic liver abscess production by Entamoeba dispar. Annals of Hepatology, 2012, 11: 107-117.
[11] 夏超明, 彭鸿娟. 《人体寄生虫学》. 北京: 中国医药科技出版, 2016, 09: 71-109.
.png)
