1.肠脑炎微孢子虫(Encephalitozoon intestinalis)
物种名:肠脑炎微孢子虫
拉丁学名:Encephalitozoon intestinalis
分类学地位:原生动物界Protista;微孢子虫门Microspra;
微孢子虫纲Microsprea;微孢子虫目Microsporida;
脑炎微孢子虫科Encephalitozoonidae;
脑炎微孢子虫属Encephalitozoon
肠脑炎微孢子虫(Encephalitozoon intestinalis)可在污水、地下水及地表水中检测出,能广泛引起神经、泌尿、呼吸系统和眼部的感染,导致慢性腹泻、胆管病、鼻窦炎、支气管炎、肺炎、肾炎、骨感染、结节样皮肤损害等。
1.1生物学特性
1.1.1生活史
孢子是肠脑炎微孢子虫唯一能够在宿主细胞外存活的生活史阶段,也是其感染阶段。通过摄入或吸入感染性孢子而发生感染,感染性孢原质(孢子原生质)通过极管进入宿主细胞。微孢子虫在宿主细胞细胞质中广泛繁殖,生活史是不断重复分裂的过程,分裂方式包括二分裂(卵块发育)或多分裂(裂体增殖)和孢子形成(孢子增殖)。卵块发育和子增殖可以同时发生在同一个细胞中。在孢子增殖过程中,形成厚的孢子壁,为孢子提供环境保护[1]。
1.1.2形态学特征
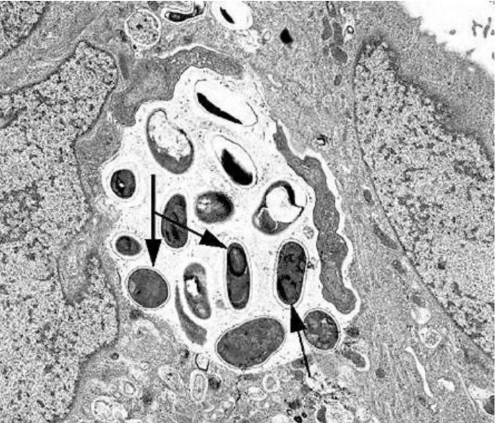
- 孢子:椭圆形,大小为(2.0-2.5) μm×(1.0-1.5) μm,缠绕5-7圈排列成1行,厚的孢子体外膜发育成为孢子的外壁,在小肠上皮细胞胞浆内的纳虫空泡(parasitophorous vacuoles)内生长发育和繁殖。
- 裂殖体:圆形或椭圆形,大小约为7 μm×6 μm,电镜下可见其电子致密度低于宿主的胞浆,常含有电子疏松包含体(electron-lucent inclusions)。
- 孢子母体:椭圆形,大小约为8 μm×7 μm,电子致密度大于裂殖体。在孢子体分裂发育成孢子母细胞前形成极管和锚定盘的电子致密前体。

图1 肠脑炎微孢子虫形态结构[2]
1.1.3生化特征
肠脑炎微孢子虫的孢子对外界环境理化因素的抵抗力强,在潮湿的环境中历经数年仍具有感染力。70%的乙醇、1%的甲醛或1%的过氧化氢与之作用30 min,或在120℃下,高压灭菌10 min均可将其杀灭[1]。
1.2分布、传播与致病性
1.2.1分布与传播
微孢子虫病呈世界性分布,感染脑炎微孢子虫的人和动物可能是传染源,孢子可通过粪便、尿液和呼吸道分泌物排到外界环境中,主要通过粪-口途径感染人类,目前已在污水、地下水及地表水中检出肠脑炎微孢子虫的存在[3]。
1.2.2致病性
肠脑炎微孢子虫为条件致病菌,其致病性与宿主的免疫状态相关。微孢子虫病多发于免疫功能受损的患者或具有免疫豁免的部位(如角膜)。肠脑炎微孢子虫主要寄生部位是小肠,尤其是十二指肠的远端及空肠的近端,感染后常出现慢性腹泻、吸收障碍、体重下降等症状,还可以通过受感染的巨噬细胞播散到肾、气管、胆道、眼睛等,导致胆管病、鼻窦炎、支气管炎、肺炎、肾炎和角膜炎等疾病[3]。
肠脑炎微孢子虫成熟的孢子进入人体内,在宿主细胞中发育增殖,细胞破裂后释放出成熟、具有感染性的孢子,孢子随大便、尿液或呼吸道分泌物排出宿主体外,或侵入其他的宿主细胞,或经血循环播散至其他组织器官。典型的特异性病变是局灶性肉芽肿、脉管炎及脉管周围炎。
1.3检测方法
(1)病原学检查:电镜学检查被认为是检查肠脑炎微孢子虫的金标准。可将收集的可疑样本离心后进行染色镜检,常采用的染色方法有吉姆萨染色和改良三色法。采用吉姆萨染色,孢子质被染成灰蓝色,核染成深粉色,近核处可见一空白区,孢子呈卵形,但在有杂菌污染时,孢子则不易识别。改良三色法采用水一乙醚沉淀法来纯化孢子,再用韦伯Chrmotrop进行染色,孢子会被染成粉红色,细菌和粪渣等染成绿色[4]。
(2)分子生物学方法:Weiss等根据肠脑炎微孢子虫SSU rRNA序列设计了一对引物V1和SI500,扩增产物序列与已报道的肠脑炎微孢子虫序列同源性为96%-100%,扩增片段长375 bp,该引物和SI60探针相结合可提高检测的敏感性和特异性[5]。
表1 肠脑炎微孢子虫PCR引物序列
| 名称 | 序列 |
| V1 | 5′-CACCAGGTTGATTCTGCCTGAC-3′ |
| SI500 | 5′-CTCGCTCCTTTACACTCGAA-3′ |
1.4典型案例
Dowd[6]等收集了未经处理的污水、三级流出水、地表水和地下水的水样,将水样提取DNA后进行PCR扩增,扩增结果与NCBI数据库进行比对,结果发现在14个样本中有7个样本检测到微孢子虫,其中检测到频率最高的种是肠脑炎微孢子虫。
Galvan[7]分析了来自西班牙马德里四个流域的4个饮用水处理厂、7个污水处理厂和6个附近流域的22个样本。在49%的样品中检测到了微孢子虫得到存在,对菌株进行鉴定,均为脑炎微孢子虫属,包括毕氏肠微孢子虫、肠脑炎微孢子虫和兔脑炎微孢子虫。
1.5防治对策
在免疫缺陷患者中治疗微孢子虫感染还没有比较有效的治疗药物。阿苯哒用于HIV患者的脑炎微孢子虫感染能够明显改善临床症状和清除原虫,显示很好的治疗效果,病例报道较多。但有些患者治疗后复发,对这些人持续的治疗是必要的。烟曲霉素用于治疗角膜结膜感染也可使症状改善。
参考文献
[1] 刘国华, 许汴利. 急性与新发传染病. 北京: 中国科学技术出版社, 2007.
[2] https://phil.cdc.gov/Details.aspx?pid=142.
[3] Weiss LM, Reinke AW. Microsporidia. Springer: Cham, 2022.
[4] 牛安欧, 刘红云, 周敏 等. 检测微孢子虫韦伯氏Chromotrop染色法. 中国人兽共患病杂志, 2000, 16: 94.
[5] 王永宾, 刘吉平. 微孢子虫检测技术的研究进展. 中国寄生虫学与寄生虫病杂志, 2009, 27: 161-166.
[6] Dowd SE, Gerba CP, Pepper IL. Confirmation of the human-pathogenic microsporidia Enterocytozoon bieneusi, Encephalitozoon intestinalis, and Vittaforma corneae in water. Appl Environ Microbiol, 1998, 64: 3332-3335.
[7] Galvan AL, Magnet A, Izquierdo F et al. Molecular characterization of human-pathogenic microsporidia and Cyclospora cayetanensis Isolated from various water sources in Spain: a year-long longitudinal study. Appl Environ Microbiol, 2013, 79: 449-459.
.png)
